Lunit's AI-powered 3D Breast Tomosynthesis uses a deep learning-based algorithm cleared by the FDA for breast cancer screening.
Photo: Lunit
Companies are expanding their reach with artificial intelligence through acquisitions, investments and government approvals on a near daily basis. These are just some of the AI health tech announcements we're watching unfold this week.
HEALWELL AI to acquire majority control of Pentavere
HEALWELL AI debuted last month after partnering with WELL Health Technologies, which provides a digital healthcare operations platform, to launch AI-based decision support to advance early disease diagnosis and improve preventative care.
The addition of Pentavere’s data abstraction and structuring capabilities will broaden HEALWELL’s therapeutic and disease indication spectrum offered to WELL’s healthcare providers, the company said in its announcement Wednesday.
Pentavere is a leader in healthcare AI, according to Dr. Alexander Dobranowski, CEO of HEALWELL.
"Its advanced DARWEN platform leverages artificial intelligence and large language models to process complex, unstructured clinical data into easily searchable and referenceable structured data, addressing a critical need in modern healthcare technology," he said in a statement.
Aaron Leibtag, cofounder and CEO of Pentavere, added that joining with HEALWELL will further its mission to improve patient outcomes. Pentavere partners with hospital networks on data abstraction and structuring.
The majority of healthcare data is unstructured or conversational, including radiology images, physicians' notes and more. AI can play a key role in turning unstructured data into actionable patient care insights, according to healthcare leaders at HIMSS22.
To run analytics at the scale and speed, healthcare needs AI and machine learning technology, said Sally (Embrey) Omidvar, vice president of life science research success at Truveta, an electronic health record data company.
HEALWELL AI said it is acquiring majority ownership of Pentavere on a non-diluted basis in a combined primary and secondary transaction with an option to buy the remaining stake over the next three years.
Forward Health launches staffless CarePods
Forward Health, which launched its AI-driven medical concierge service in 2017, announced it will soon bring doctor-built CarePods – stand-alone medical diagnostic rooms – to major cities like San Francisco, New York and Chicago.
The company, founded by Google AI division veteran Adrian Aoun, shared its plans to move beyond direct-to-consumer primary care while announcing $100 million in investments to manufacture and deploy the pods on Wednesday.
"As soon as you step in, CarePods become your personalized gateway to a broad range of health apps, designed to treat the issues of today and prevent the issues of tomorrow," the company said on its website.
Forward CarePods, which cost health consumers $99 per month to access, include disease detection, biometric body scans, blood testing and more. Data is transmitted to Forward’s platform and can be accessed by mobile app.
The company also said that it will continue to develop self-service tools for "prenatal care, advanced cancer screening and polygenic risk analysis."
Aoun said when he founded Forward Health that he was focused on AI that can predict adverse health events.
"We have a long way to go in making what we do affordable for everyone, not just for the kinds of people who are fortunate enough to be in a position to spend money for better health," he said then.
"Fortunately, the same technologies that make the system smarter also make it cheaper over time."
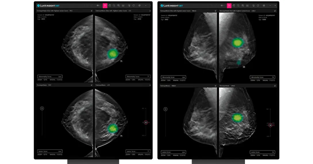
FDA clears Lunit breast cancer screening algorithm
Lunit, a provider of AI-powered solutions for cancer diagnostics and therapeutics, announced Tuesday that the U.S. Food and Drug Administration has cleared its 3D Breast Tomosynthesis algorithm to enter the U.S. breast screening market.
Lunit INSIGHT DBT analyzes 3D images to increase the accuracy of breast cancer diagnoses.
Many studies have shown that AI, in comparison to radiologists alone, improves cancer detection.
In 2020, Lunit, along with Korean academic hospitals, published findings from a study of 170,000 mammogram examinations from five institutions across South Korea, the U.S. and the United Kingdom that showed AI helps improve accuracy in breast cancer detection.
AI was not only better in detecting masses, distortion or asymmetry and early-stage invasive and node-negative cancers, but, according to the study’s findings, it is less affected by interpreting images from dense breasts, thus improving radiologists' interpretations of dense breast mammograms by 11%.
Andrea Fox is senior editor of Healthcare IT News.
Email: afox@himss.org
Healthcare IT News is a HIMSS Media publication.


